JTV Mondzorg: ‘Arnhem laat een op vijf kinderen links liggen qua mondzorg’
Raoul Trentelman, directeur van JTV Mondzorg voor kids, is in gesprek met diverse gemeenten over de rol van stakeholders in de mondzorg voor kinderen. ‘Voor 1980 had de jeugdtandverzorging in Nederland een grote omvang, veelal onder gebracht in stichtingen, bij gemeenten of de GGD’s. Daar zijn nu nog negen instellingen voor jeugdtandverzorging van over.'
'De overheid stuurde steeds meer op eigen verantwoordelijkheid. Men veronderstelt dat het allemaal wel goed komt, aangezien de mondzorg tot 18 jaar kosteloos is en het consultatiebureau in de eerste paar jaar van het kind aan preventie doet.’
JTV Mondzorg voor kids is een organisatie met tien vestigingen en twee zogeheten Dental Cars, mobiele tandartspraktijken. De stichting is actief in noordoost Noord-Brabant, Nijmegen, Arnhem, Leeuwarden en Rotterdam, en is daarmee de grootste organisatie voor jeugdtandverzorging in Nederland. Trentelman is naast directeur van JTV Mondzorg voor kids en De Zorgzame Tandarts, ook voorzitter van de Nederlandse Vereniging van Instellingen voor Jeugdtandzorg (NVIJ).
Trentelman: ’In veel steden zijn grote groepen met een lage sociaaleconomische status en meervoudige problematiek, die niet aan tandartsbezoek doen. Zo’n twintig procent van de kinderen legt geen periodiek bezoek af bij de tandarts of mondhygiënist. Wil je als stakeholders – gemeente, consultatiebureau, GGD, zorgverzekeraar, basisscholen en mondzorg – daarvoor verantwoordelijkheid nemen? Of zeg je: de financiering is geregeld en er is geen probleem? Dan laat je een flinke groep kinderen links liggen.’
Hoe kwam u in gesprek met de gemeente Arnhem?
‘Ik ben al twee jaar bezig met het benaderen van basisscholen. Ook bij de gemeente en GGD heb ik overlegd om samen dit probleem aan te pakken. Samen met de GGD doen we de pilot ‘Mondzorgcoach’ bij drie consultatiebureaus. We praten op het spreekuur van het consultatiebureau met de ouders over vragen als: “Bezoekt u wel eens de tandarts? Heeft u vragen over de ontwikkeling van het gebit?” Daarbij delen we onze expertise en ervaringen met de professionals en de JGZ-artsen.’
‘Met de gemeente praten we over de vraag of ze de regie kunnen nemen bij de basisscholen en of ze een brief kunnen sturen naar ouders waarvan het kind de leeftijd van één jaar heeft. In Noord-Brabant en Rotterdam leidde die brief tot een instroom aan ouders. De gemeente Oss stuurde zo’n oproep en dat werd door ouders gezien als een neutrale brief met een zeker ‘dwingend’ karakter, een publiek belang. Dat heeft geleid tot een sterke toename van de instroom van kinderen uit achterstandsgroepen. De samenwerking van gemeente, GGD, consultatiebureau, basisscholen en mondzorg was in de regio Oss een succes. Het percentage kinderen dat geen tandarts bezoekt, zit daar nu tussen de 9 en 10,5 %. Dat is vrij uniek in Nederland.’
‘In Arnhem nam de SP het initiatief, met een notitie voor de gemeenteraad. Het college schreef in een reactie dat de gemiddelde basisschool in Arnhem geen belangstelling heeft. Dat durf ik te betwisten, hoewel basisscholen wel een hoge drempel ervaren bij de samenwerking. Onze relatiemedewerker krijgt reacties als: ‘Wij zijn al overbelast, we kunnen mondzorg er niet bij hebben.’ We kunnen begeleid groepsvervoer bieden met een bus, zoals we dat ook doen in Rotterdam. Kinderen worden met toestemming van de ouders twee keer per jaar naar de tandartspraktijk gebracht en binnen een uurtje zitten ze weer terug in de klas. Bij bijzondere behandelingen volgt een apart consult.’
Wat zijn de bezwaren van het college van Arnhem? De kosten?
‘Er zijn helemaal geen kosten voor de gemeente, behalve de oproepbrief van de gemeente, die kost wat porto. We schrijven de brief, doen er folders bij, een tandenborstel en tandpasta. De gemeente hoeft niets te doen, behalve regie te nemen. Hun visie is: ouders zijn verantwoordelijk, er zijn voor hen geen drempels gezien de basisverzekering en het consultatiebureau stipt het belang van mondzorg aan.’
Hoe gaat het gesprek in Arnhem verder?
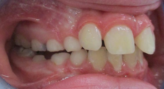
‘ We vragen de gemeente of ze regie willen nemen bij de basisscholen. Haal het schoolbestuur bij elkaar, ga de dialoog aan en kijk of we de belemmeringen kunnen weghalen. We willen een integrale aanpak met consultatiebureaus, voorlichting en poetslessen op scholen. Er zijn kinderen die op hun tiende jaar nog nooit een tandarts hebben bezocht met alle gebitsproblematiek van dien (zie foto hiernaast - foto JTV). Als ouders de verantwoordelijkheid niet nemen, kunnen we het beter overnemen en kinderen niet de dupe laten worden. Ik schat in Arnhem dat het zeker om zo’n 1000-1500 kinderen gaat. In sommige wijken bezoekt 40 procent geen tandarts.’
Hoe financiert u de haal- of brengservice?
‘Dat doen twee zorgverzekeraars op basis van beleidsregels van de Nederlandse Zorgautoriteit. Er zijn normen voor vervoer met personenbusjes van school naar de praktijk en weer terug. Op basis van die normen krijgen we daar een vergoeding per kind voor. Alternatief is de Dental Car, de mobiele tandartspraktijk, aanschafkosten vanaf € 375.000. Die aanschaf kunnen we alleen doen als er voldoende kinderen van die Dental Car gebruikmaken.’
‘In Leeuwarden heeft de Dental Car een jaar lang ongebruikt voor de deur gestaan. De gemeente gaf ook niet thuis, de verantwoordelijkheid zou bij de GGD liggen. Inmiddels neemt de gemeente wel regie en roept ze partijen bij elkaar.’
Wat is uw visie op de rol van zorgverzekeraars hierbij?
‘Acties van zorgverzekeraars hebben veel effect. Ze kunnen ouders van kinderen bij het bereiken van de tweejarige leeftijd oproepen om voor hun kind goede mondzorg te regelen, voor periodieke controle, preventie en de ontwikkeling van het gebit. DWS, de zorgverzekeraar in de regio Rotterdam, heeft in overleg met ons een eenmalige brief geschreven naar ouders en daarna gingen zo’n 300 kinderen naar de tandarts. In Rotterdam gaat nog steeds 31 procent van de kinderen niet naar de tandarts, hoewel er twee instellingen voor jeugdmondzorg actief zijn. JTV bereikt er inmiddels 6000 kinderen met een haal- en brengservice en onze collega-instelling jeugdtandverzorging heeft een vergelijkbare groep klanten.’
Links: JTV Mondzorg voor kids; De Zorgzame Tandarts; Nederlandse Vereniging van Instellingen voor Jeugdtandzorg (NVIJ)

Dental Car, de mobiele tandartspraktijk. Foto: JTV mondzorg voor kids

Reactie toevoegen